京都府宇治市の矯正歯科 リンガル矯正・成人矯正 いなみ矯正歯科 ORTHODONTICS INAMI

  • 資料請求
  • 問診用兼お問合せ
  • サイトマップ
  • 個人情報について
  • ホーム
  • 院内紹介
    • 歯科用CTの重要性
    • 感染予防七か条
  • スタッフ紹介
  • 診療時間・アクセス
  • 明確な料金
    • 医療費控除に付いて
    • 健康保険適用の症状
  • 問診用兼お問合せ
  • 矯正歯科治療に伴う一般的なリスクや副作用について 保護者の皆様へ 学校の歯科検診について
  • ご予約、お問い合わせは 0774-44-3143 受付時間10:00から18:00 木曜 日曜 祝日 定休 求人案内

症例〜あなたの歯並び大丈夫?

  • 正常咬合〜美しい口元とは?
  • 出っ歯(上顎前突)
  • 受け口(反対咬合・下顎前突)
  • 上下顎前突
  • でこぼこ・ガタガタ(叢生)
  • 八重歯・乱ぐい歯(叢生)
  • すきっ歯(空隙歯列)
  • オープンバイト(開咬)

矯正知識について

  • 歯並びが悪いとこうなる
  • 歯並びを悪くする生活習慣
  • 知って得する歯並び予防
  • 虫歯・歯周病・親知らず
  • 歯磨き指導
  • 矯正装置を知ろう
  • 矯正中の食事と手入れ
  • 後戻りしないために
  • 矯正用語辞典

矯正治療について

  • 矯正歯科治療の一般的な治療期間と通院回数
  • 流れ
  • 成人矯正
  • リンガルブラケット矯正
  • 小児矯正
  • 歯科矯正用アンカースクリューを用いた矯正歯科治療
  • 外科矯正
  • 矯正装置の種類
  • 保定装置(リテーナー)
  • マウスピース型(アライナー型)矯正装置による治療

ホワイトニングについて

  • ホワイトニングについて
  • 問診兼用お問い合わせ
  • 活動報告

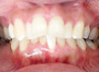
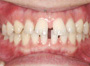
症例〜あなたの歯並び大丈夫?

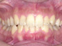
これが正常な噛み合わせです。
  • 正常咬合正常咬合〜美しい口元とは?
  • 出っ歯(上顎前突)出っ歯(上顎前突)
  • 受け口(反対咬合・下顎前突)1受け口(反対咬合・下顎前突)1
  • 受け口(反対咬合・下顎前突)2受け口(反対咬合・下顎前突)2
  • 上下顎前突1上下顎前突1
  • 上下顎前突2上下顎前突2
  • でこぼこ・ガタガタ(叢生)でこぼこ・ガタガタ(叢生)
  • 八重歯・乱ぐい歯(叢生)八重歯・乱ぐい歯(叢生)
  • すきっ歯(空隙歯列)すきっ歯(空隙歯列)
  • オープンバイト(開咬)オープンバイト(開咬)
資料請求はこちらお問い合わせはこちらお気に入り登録
  • HOME
  • 院内紹介
  • スタッフ紹介
  • 診療時間・アクセス
  • 明確な料金
  • 相談掲示板
  • 資料請求
  • お問い合わせ
  • リンク集

京都府宇治市  小児矯正・成長期の矯正・成人矯正・リンガル矯正

院長 居波 薫   前院長 居波 徹

住所
〒611-0031 京都府宇治市広野町東裏62-1
最寄駅
近鉄京都線大久保駅より徒歩7分、JR奈良線新田駅より徒歩3分
連絡先
TEL.0774-44-3143 FAX.0774-41-6484
診療時間
(初診相談・診断) 月曜日、火曜日、水曜日、金曜日: AM 9:30~10:00、 PM 12:00~12:30 PM 6:00~ 6:30
(初診相談・診断) 土曜日:AM 8:30~9:00、 PM 12:00~ 12:30
診療時間
(午前): 月曜日、火曜日、水曜日、金曜日:AM 10:00~PM 1:00  お昼休み: PM 1:00~ 2:00
土曜日:AM 9:00~PM 1:00  お昼休み: PM 1:00~ 2:00
診療時間
(午後): 月曜日、火曜日、水曜日、金曜日 PM 2:00~ 6:00
     土曜日 PM 2:00~ 5:00
休診日
木曜日・日曜日・祝、祭日 (原則として週内に祝・祭日のある場合は木曜日を診療日とします)

Copyright(C) いなみ矯正歯科 All Rights Reserved.