受け口(反対咬合・下顎前突)2

- 初診時年齢 22歳4ヶ月
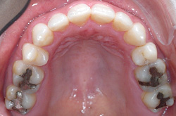
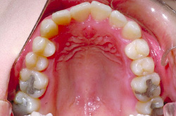
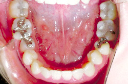
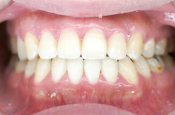
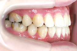
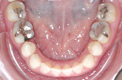
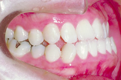
- 上下の前歯のでこぼこと、前歯の噛み合わせが上下逆の受け口でしたが、上下2本ずつ、計4本抜歯をして改善しました。横顔のバランスも良好になりました。
- 期間
- 約4年2ヶ月程度、約50回の通院
- 装置
- リンガルブラケット装置
- 費用
- 120万(税抜)
- 主訴
- 噛み合わせを良くしたい。受け口が気になる。
上あご・正面・下あご
before
after
側 面
before
after
治療前横顔・治療後横顔
before
after
