京都府宇治市の矯正歯科 リンガル矯正・成人矯正
いなみ矯正歯科 ORTHODONTICS INAMI
資料請求
問診用兼お問合せ
サイトマップ
個人情報について
ホーム
院内紹介
歯科用CTの重要性
感染予防七か条
スタッフ紹介
診療時間・アクセス
明確な料金
医療費控除に付いて
健康保険適用の症状
問診用兼お問合せ
矯正歯科治療に伴う一般的なリスクや副作用について
保護者の皆様へ 学校の歯科検診について
求人案内
症例〜あなたの歯並び大丈夫?
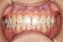
正常咬合〜美しい口元とは?
出っ歯(上顎前突)
受け口(反対咬合・下顎前突)
上下顎前突
でこぼこ・ガタガタ(叢生)
八重歯・乱ぐい歯(叢生)
すきっ歯(空隙歯列)
オープンバイト(開咬)
矯正知識について
歯並びが悪いとこうなる
歯並びを悪くする生活習慣
知って得する歯並び予防
虫歯・歯周病・親知らず
歯磨き指導
矯正装置を知ろう
矯正中の食事と手入れ
後戻りしないために
矯正用語辞典
矯正治療について
矯正歯科治療の一般的な治療期間と通院回数
流れ
成人矯正
リンガルブラケット矯正
小児矯正
歯科矯正用アンカースクリューを用いた矯正歯科治療
外科矯正
矯正装置の種類
保定装置(リテーナー)
マウスピース型(アライナー型)矯正装置による治療
ホワイトニングについて
ホワイトニングについて
問診兼用お問い合わせ
活動報告
正常咬合〜美しい口元とは?
その他症例
これが正常な噛み合わせです。
症例一覧に戻る