目次122-2345678
3.子どもの「あご」

20歳代の咬合力の推移
1.1958年:吉松信喜先生
2.1987年:西川 有先生


5歳児の咬合力のヒストグラム
1958年と1994年の比較 佐橋喜志夫先生


咀嚼訓練前後の咬合力
5歳の幼稚園児に咀嚼訓練食品(乾燥鰹3g)


食べる発達
摂食機能獲得段階
1. 経口摂取準備期:哺乳反射、指しゃぶり、玩具なめ、舌突出
2. 嚥下機能獲得期:下唇の内転、舌尖の固定、舌運動にて食塊移送
3. 補食機能獲得期:顎・口唇の随意的閉鎖、上唇での擦り取り
4. 押し潰し機能獲得期:口角の水平運動、舌尖の口蓋皺壁へ押付け
5. すり潰し機能獲得期:頬と口唇の協調運動、口角引き、顎偏位
6. 自食準備期:歯がため遊び、手づかみ遊び
7. 手づかみ食べ機能獲得期:頚部回旋消失、前歯咬断、口唇中央部からの補食
8. 食器食べ機能獲得期:頚部回旋の消失、口唇中央部からの食具の挿入
1) スプーン使用  口唇での補食、左右の手の協調
2) フォーク使用
3)  箸  使用


症例
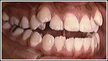
舌小帯と開咬
舌の運動機能障害


症例
永久歯が後ろから!?
知識の伝承


3.まとめ
子どもの「あご」
1. 35年前に比べて、噛む力・咬合力は弱くなってきています。
2. 訓練によって(当り前の食生活)、咀嚼機能の改善は可能です。
3. 子どもの「あご」を創る大切な時期は乳幼児期です。



4.子どもの強い歯をつくる

母体は乳歯を

幼児は永久歯を