目次122-2345678
参考図書
1.W.A.Price著、片山恒夫訳:食生活と身体の退化 -未開人の食事と近代食・その影響の比較研究-、豊歯会、1978
2.河村洋二郎:口と人生、 医歯薬出版、東京、1985
3.口唇裂・口蓋裂友の会:口唇・口蓋裂児者の幸せのために、ぶどう社、東京、1983
4.榊原悠紀田郎:-自分の歯を守る-上手な歯科のかかり方、白馬出版、東京、1988
5.岩坪玲子:子どもの将来を考える 歯科・口腔学、東山書房、京都、1986
6.北絛靖子:歯を強くして賢い元気な子にするおかずとおやつ、主婦の友社、東京、 1985
7.河野友美:まちがい食品学、中公文庫、東京、1987
8.西岡一:あなたの食卓の危険度-安全食事10カ条-、健康双書、農山漁村文化協会、1985
1.歯から始める健康管理

 
「口のはたらき」

周山保健所での回答
1. 話す 会話する
2. 言葉を発する 発音 叫ぶ うなる
3. 咀嚼 食べる 噛む すり潰す 食生活を 楽しむ
4. 消化する 栄養の摂取 生命維持の窓口  酵素を取り込む
5. 唾液を出して消化を助ける(唾が出る)
6. 嚥下 飲み込む
7. 嘔吐 たんを出す
8. なめる 唾液により口の中を清潔にする
9. 吸う 母乳を吸う
10. ものをくわえる 糸等を噛み切る、ちぎる  (歯を道具として使う)
11. 触れて感触を見る
12. 熱さ、冷たさが分かる 五感
13. 味を知る 味覚
14. 腐ったものを識別
15. しびれ、痛みなどの感覚
16. 呼吸する 息をする 二酸化炭素を出す
17. 欠伸をする 咳をする くしゃみをする
18. 物を冷ます
19. 病気がわかる病気が出る
20. あごの発達 歯と歯茎の保護
21. 体温調整をする
22. 水などを溜める
23. 楽器を演奏する 歌う
24. 歌う 口笛を吹く
25. 表情を変える 感情を表わす 笑顔  泣く 怒る
26. 異物を発見する
27. 容姿(顔の形)を整える 姿勢を正し  くする 外観
28. キッスをする
29. 全身の力の調整(歯をくいしばる)
30. 脳への刺激 脳の発達を促す


症例

乳歯がなければ!
まわりの乳歯の移動、後継永久歯の変化

乳歯があるから?
何時の間にか乳歯が沈没した?


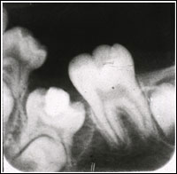
乳臼歯の骨性癒着による咬合異常


総合診断
1. II 級不正咬合 ( ANB : +5°)
2. 歯年齢 III A 期
3.
トータルディスクレパンシー
-4.9 mm
アーチレングスディスクレパンシー
-1.9 mm
セファロコレクション -2 mm
ミッドラインコレクション -1 mm
4. 下顎左側第一大臼歯の著しい近心傾斜
5. 下顎左側第二乳臼歯の埋伏低位と後継永久歯胚の位置異常


治療方針・方法
I .
混合歯列期
1. 歯列周長の再獲得のために下顎第一大臼歯 の直立
2. 低位乳臼歯の自然萌出なければ下顎第二乳臼歯の抜歯
3. 下顎第二小臼歯の歯列内への萌出誘導
II .
永久歯列期
1. 歯列調整、レベリング、臼歯対咬関係の改善
2. オーバーバイト、オーバージェットの改善
III .
保定

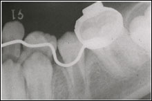
リンガルアーチ(SLA)装置による、下顎左側第一大臼歯の整直(直立)
初診時III A期
III C期


1.まとめ
 「口のはたらき」
1. 「口」は、実に様々な働きをしている
2. 歯や歯肉を健康に保持・増進する
3. 歯を残し、使ってこそ心身健康