b1b1-1b2b3b

Diagnosis and clinical steps of lingual orthodontic treatment.


LEVEL ANCHORAGE LINGUAL SYSTEM

Age : 23y 7m
Sex : Female
C/C : Crooked teeth, TMD
App.: Kurz 7 th


@
1) Examination and Problem List
Facial Photo Initial

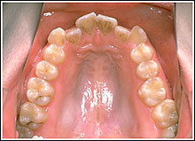
Intraoral Photo Initial

Intraoral Model Initial

1. Discrepancy
2. Curve of Spee