7:(乳歯)反対咬自然治癒
|
乳歯反対咬合の自然治癒については、過去にもいくつかの報告があります。一般集団では約60〜70%(2/3程度)が永久前歯の交換期に自然に治癒するとされています。愛知学院大学歯学部歯科矯正学講座の永原報告では、II C〜III B期にかけて、乳歯反対咬合の約11.95%が自然治癒したとされています。
また、乳歯列期中での自然治癒率はII A 期に自然治癒する割合として約14.17%に認められ、さらに平均的自然治癒年齢は5歳1ヵ月であったとされています。
乳歯反対咬合者の中で乳歯列期中に自然治癒する群としない群に分けた場合。2〜3歳児における両群の鑑別として、自然治癒しない群の特徴(条件)は、
1) 反対被蓋範囲:BAAB/CBAABC以上
2) オーバーバイト:大、
(-)オーバージェット:大
3) 強制的下顎最遠心位:(-)オーバージェット
4) 上下顎乳犬歯の対咬関係:咬頭干渉がある
5) 遺伝:家系に反対咬合者がいる
|
|
次に、乳歯反対咬合者の中で、永久前歯萌出期(III A )において、自然治癒した者の顎態の特徴を調査し、4歳児における両群の鑑別診断を提示すると、
1) 強制的下顎最遠心位:(+)オーバージェット
2) 反対被蓋範囲:切歯部に限局
3) 遺伝:近縁者に反対咬合者が少ない
4) 顔面骨格の変形度: SNP + Gonial 角 = 205°
5) 顎骨内の上下永久中切歯の位置と歯軸:後方位や歯冠軸の後方傾斜
|
|
|
|
|
|
乳歯反対咬合者は出来るだけ、ウ触予防や治療勧告を始めとして、下顎の後退位を訓練付けすることも、大切です。以下に実際の臨床例をお示しします。これらは、あくまでも自然治癒の機会を増やすといった意味合いから実行している事です。
|

|
| もう一つの反対咬合の臨床例です。 |
|
家庭療法(自律矯正法)で反対被蓋が改善され、その後8年間にわたって経過観察のために定期検診を続けていきました。
|
|
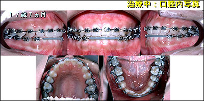
経過観察中に上下顎右側の側切歯の反対被蓋を主訴に矯正治療を希望されました。
エッジワイズ法(レベル アンカレッジ システム)にて、矯正治療を開始しました。 |
|
| 治療期間は17ヶ月で、その後保定・観察をおこなっています。 |
|